HOME
SEARCH
OUR OFFICE
Reviews
Office Photo Tour
Meet The Doctor
Dental Tech
Contact Us
NEW PATIENTS
Patient Information
FORMS
SERVICES
Restorative Dentistry
Aesthetic Dentistry
Dental Implants
Preventive Care
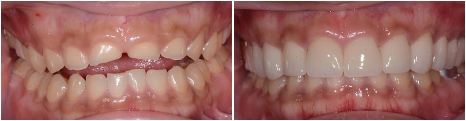
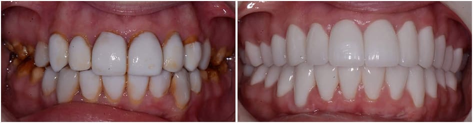
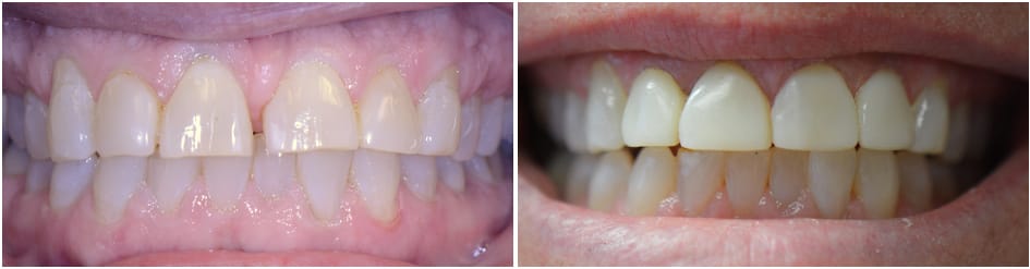
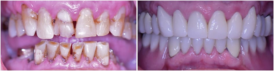
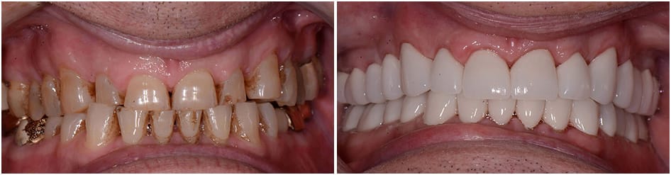
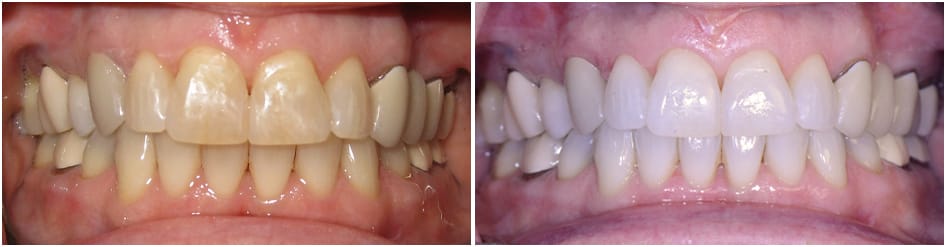
Makeover Photos
Topics of Interest
Submit
Home
Toggle Mobile Navigation
MENU
Home
PROSTHODONTICS
OUR OFFICE
Reviews
Office Photo Tour
Meet The Doctor
Dental Tech
Contact Us
Search
NEW PATIENTS
Patient Information
FORMS
SERVICES
Restorative Dentistry
Aesthetic Dentistry
Dental Implants
Preventive Care
Makeover Photos
Topics Of Interest
713-789-0015
24 hr. Answering Service Available
Frank C. Greider MS, DDS, PC
510 Bering Drive, Suite 440
Houston, TX 77057
Email Us
To Top
get...greiderized
SPECIALIST IN
PROSTHODONTICS
Frank C. Greider M.S., D.D.S., P.C.
HOUSTON, TEXAS