Frank C. Greider MS, DDS, PC Prosthodontics, Houston TX
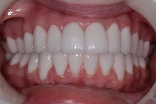
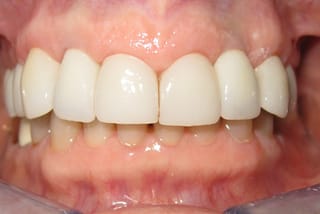
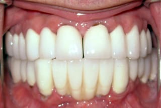
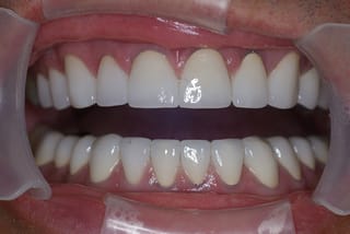
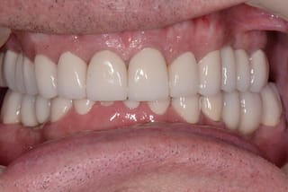
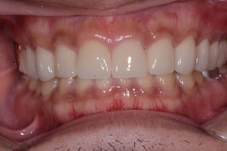
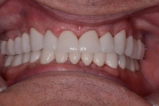
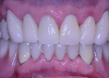
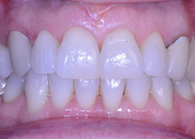
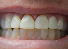
smile makeovers
















REQUEST AN APPOINTMENT NOW!
Dr. Frank C. Greider is waiting to meet you and your family and provide you with the dental care you deserve!
CALL NOW AT

